Contact ☎ 310.448.7844

MICROSCOPIC DISCECTOMY

 

MLD is an acronym for Microscopic Lumbar Discectomy. Microscopic refers to the use of a microscope or magnification system. Lumbar refers to the five lumbar segments of the low back. Discectomy refers to removal of the herniated part of the disc.

Patients with disc herniations are candidates for an MLD. The disc herniation causes compression on local nerves which can then cause pain, weakness or numbness/tingling down the leg. Think of the disc herniation or bulge as a pebble in your shoe. It needs to be surgically removed in order for the compression upon the nerve to be relieved. The surgery is designed to shave a little bone, remove soft tissues (such as ligament), and excise loose disc fragments all through approximately a 2cm incision in the back. The end result will be to open up the local space around the affected nerves thereby allowing them to function more properly.

Ninety-six percent of our patients have had pain reduction with an MLD procedure with an average pain reduction from 7/10 pre-op to 2/10 post-op.

 

Case Study

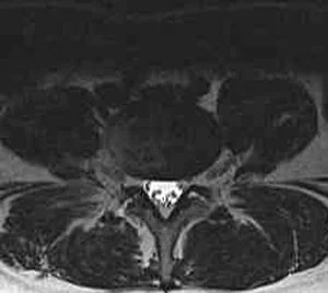
This is a case of a 34 year-old female with progressive low back and right leg pain and weakness. The pain radiated into her right buttock, back of her thigh and calf, and onward towards her heel and outside part of her right foot. She also noted weakness on her right side with the push off phase of walking. She had an MRI that demonstrated an eccentric to the right disc herniation at L5-S1 (Figure 1). Figure 2 demonstrates her normal L4-5 disc level. She had failed non-surgical management in the form of medications, injections, and physical therapy. She ultimately underwent a MLD on the right at L5-S1 with immediate relief of her right leg pain. Figure 3 displays the small surgical incision.